Mpox-a baztanga simikoaren birusak (MPXV) eragindako gaixotasun zoonotikoa da, gizakiengan sintoma larriak eragin ditzakeena. Animalia basatietatik gizakietara transmititu ohi da Afrikako mendebaldean eta erdialdean. Kutsatze...
Gehiago irakurri...
Blog
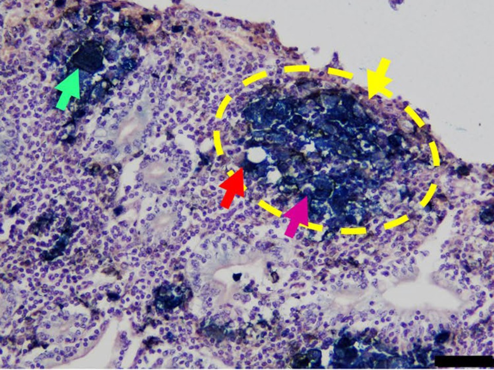
Zitoqueratinaren eta makrofago epiteloideen eginkizuna behien paratuberkulosiarekiko erresilientzian
Behien paratuberkulosia (PTB) enteritis granulomatoso kroniko bat da, Mycobacterium avium subsp. paratuberculosis (MAP) bakterioak eragindakoa, eta galera ekonomiko handiak sortzen ditu abeltzaintzako ekoizpenean; gainera, giza...
Gehiago irakurri...
Gehiago irakurri...
NEIKEReko Animalien Osasuna Sailaren 2025eko argitalpenak
Hona hemen 2025ean aldizkari zientifiko indexatuetan argitaratutako 41 argitalpenen zerrenda. Gehienei buruz iazko blogeko sarreretan hitz egin genizuen. Horietako asko sarrera libreko aldizkarietan argitaratuta daude,...
Gehiago irakurri...
Gehiago irakurri...
Esne-behi aziendaren lehorraldiko terapia antibiotikoa: esnean duen eragina eta zergatik den garrantzitsua
Errape-mina edo behi-mastitisa mundu osoko esne-ekoizpenean agertzen diren gaixotasunik ohikoenetako eta kostu handieneko bat da. Behien osasunean eta ongizatean, bai eta esnearen kalitatean ere, eragin...
Gehiago irakurri...
Gehiago irakurri...
Kalostroa, defentsak baino askoz gehiago: bere eginkizuna txahalaren hesteetako mikrobiotan
Hesteetako mikrobiotak (hesteetan bizi diren mikroorganismoen multzoa) zeregin garrantzitsua du txahalen osasunean eta garapenean. Bizitzako lehen asteetan, eta bereziki edoskitzea eten aurretik, komunitate mikrobiano hau...
Gehiago irakurri...
Gehiago irakurri...
Adjubanteak berezko immunitatearen entrenatzaile gisa
Adjubanteak, eraginkortasuna hobetzeko, txertoei gehitzen zaizkien substantziak dira. Txertoek sortutako erantzun immunitarioa indartzeko, luzatzeko eta zuzentzeko erabiltzen dira. Dogma tradizionalaren arabera, memoria immunologikoa, antigeno zehatzen...
Gehiago irakurri...
Gehiago irakurri...
Europa hegoaldeko sai arreetan oso patogenoa den hegazti-influenzaren (H5N1) agerraldi baten diziplina anitzeko jarraipena
2021. urteaz geroztik, patogenotasun handiko H5N1 azpimotako hegazti-influenzaren birusa (2.3.4.4.b kladoa) mundu osoko hegazti-populazioei eragiten ari zaie. Birus hau etxeko hegazti zein hegazti basatietan eragin...
Gehiago irakurri...
Gehiago irakurri...
DOKTOREGO TESIA: Behien campilobacteriosis genitala Espainian: Campylobacter fetus subespezie venerealis-ren epidemiologia, diagnostiko eta karakterizazio genomikoa
Nerea Pena Fernández gure lankideak bere doktore-tesia defendatu du: "Campilobacteriosis genital bovina en España: epidemiología, diagnóstico y caracterización genómica de Campylobacter fetus subespecie venerealis". Defentsa...
Gehiago irakurri...
Gehiago irakurri...
Zein kaparrek ziztatzen dituzte pertsonak Euskadin eta zer patogeno aurkitzen ditugu haietan?
Kaparrak artropodo txikiak dira eta gaixotasun askoren bektore gisa joka dezakete. Euskadin etxabere eta animali basatiak parasitatzen dituzten kaparrak ondo aztertu badira ere, orain arte...
Gehiago irakurri...
Gehiago irakurri...
Industria-patenteak eta industria-sekretuak: animalien osasunaren eta abeltzaintzaren esparruko ezagutza babesteko moduak
Patenteak asmakuntza bati emandako eskubide esklusiboak dira, asmakuntza publikoki ezagutaraztearen truke lortuak. Abeltzaintzaren eta animalien osasunaren testuinguruan, patenteek honako hauek har ditzakete barne: albaitaritzako sendagaiak...
Gehiago irakurri...
Gehiago irakurri...
Oritzaren maneiua eta txertaketa Euskal Autonomia Erkidegoko esne-haztegietan: azterketa pilotua
Oritzarekin elikatzea funtsezkoa da txahalentzat, ez baitute amaren antigorputzik jasotzen haurdunaldian; immunitate pasibo bezala ezagutzen da hori. Immunitate goiztiarra kalitatezko eta kantitate nahikokoa den oritzaren...
Gehiago irakurri...
Gehiago irakurri...
Hainbat iturritatik datozen antibiotikoekiko erresistenteak diren Campylobacter anduien karakterizazio genomikorako «One Health» ikuspegia
Campylobacter elikadura bidez transmititzen den patogeno zoonotiko garrantzitsu bat da, kezka eragiten duelarik zenbait antimikrobiarrekiko bereziki fluorokinolonekiko eta makrolidoekiko erresistentzia handitu egin delako. Antimikrobianoekiko erresistentziaren...
Gehiago irakurri...
Gehiago irakurri...
